ที่ Time Dental Care เราเชี่ยวชาญด้านการฝังรากฟันเทียม ซึ่งเป็นทางเลือกที่ยั่งยืนสำหรับการทดแทนฟันที่สูญเสียไป รากฟันเทียมไม่เพียงช่วยฟื้นฟูรอยยิ้มของคุณให้สวยงาม แต่ยังทำงานได้เหมือนฟันธรรมชาติ ทำให้มั่นคงและแข็งแรง การรักษานี้ประกอบด้วยการฝังรากไทเทเนียมลงในกระดูกขากรรไกร ซึ่งทำหน้าที่เป็นฐานที่แข็งแรงสำหรับการใส่ครอบฟัน สะพานฟัน หรือฟันปลอมแบบถอดได้ ผลลัพธ์ที่ได้คือรอยยิ้มที่มั่นคงและดูเป็นธรรมชาติ สามารถอยู่ได้ตลอดชีวิตหากได้รับการดูแลอย่างเหมาะสม
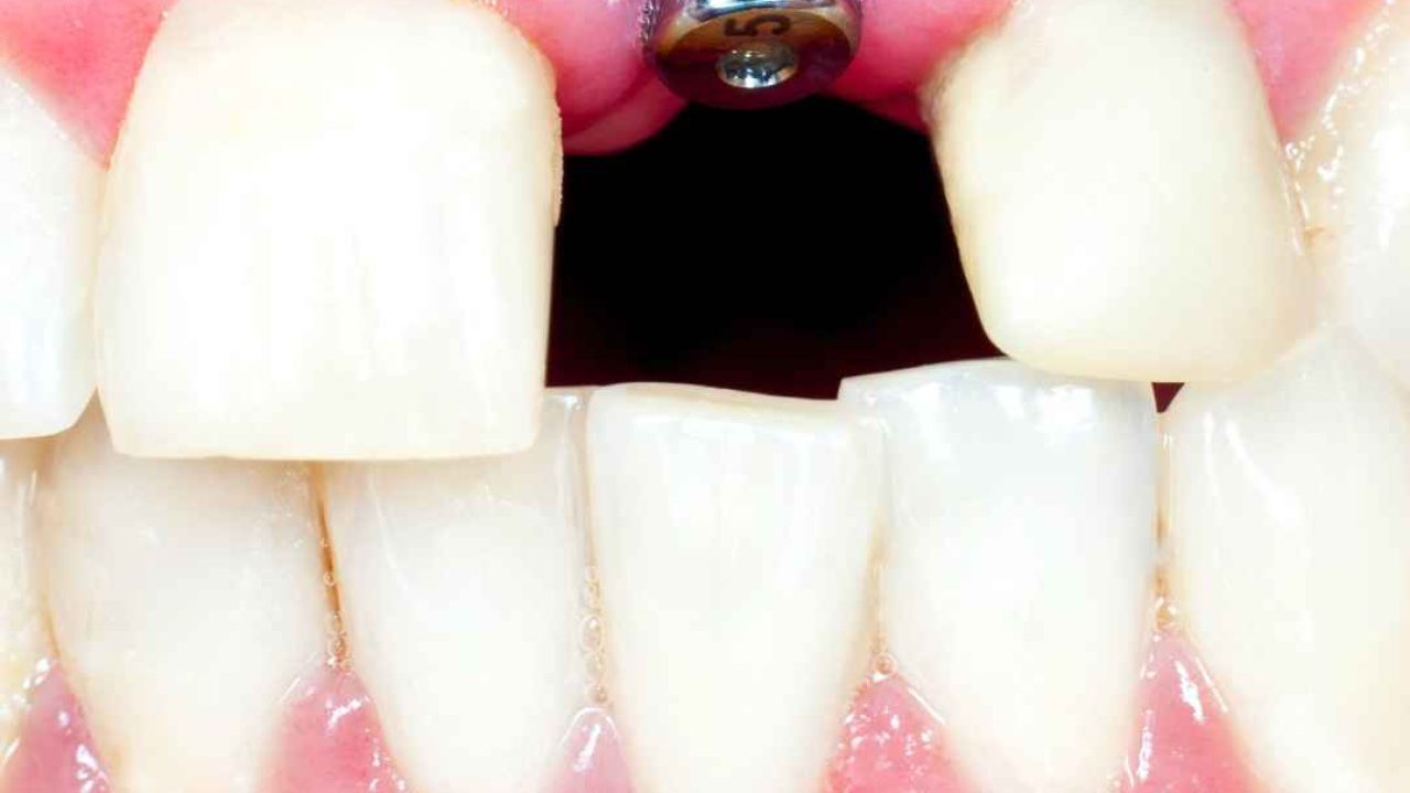
นี่คือขั้นตอนง่ายๆ ของการฝังรากฟันเทียม:
- การปรึกษาและวางแผน:
เราเริ่มต้นด้วยการตรวจสุขภาพช่องปากและเอ็กซเรย์อย่างละเอียดเพื่อประเมินสุขภาพฟันและสร้างแผนการรักษาที่เฉพาะเจาะจงสำหรับคุณ - การฝังรากฟันเทียม:
รากไทเทเนียมจะถูกฝังลงในกระดูกขากรรไกรเพื่อทำหน้าที่เป็นรากฟันใหม่ รากนี้จะรวมตัวกับกระดูกตามธรรมชาติในระยะเวลาที่กำหนด - การฟื้นฟู:
เมื่อรากฟันเทียมหายดีแล้ว เราจะใส่ครอบฟัน สะพานฟัน หรือฟันปลอมเฉพาะบุคคลเพื่อคืนรอยยิ้มของคุณให้สมบูรณ์ - ประโยชน์ของรากฟันเทียม:
- ดูและให้ความรู้สึกเหมือนฟันธรรมชาติ
- ทนทานและยาวนาน
- ป้องกันการสูญเสียกระดูกขากรรไกร
- ไม่กระทบต่อฟันข้างเคียง
ด้วยการฝังรากฟันเทียม คุณจะกลับมามั่นใจในการรับประทานอาหาร พูดคุย และยิ้มอย่างเต็มที่อีกครั้ง!



